下関市歯医者、小児歯科、矯正歯科|矯正装置【ノリヒロ矯正歯科なおみこども歯科】

 

LINEでお問合せを承ります。
受診される方の診察券をお持ちであれば診察券番号、お名前、年齢、お問合せ内容を必ず記載して送信してください。

 

ノリヒロ矯正歯科
なおみこども歯科

矯正装置について

HOME | 診療内容 | 矯正装置について

マウスピース型カスタムメイド矯正歯科装置

マウスピース歯科矯正

透明で取り外し可能なマウスピース(インビザラインRアライナー)を装着することで、きれいな歯並びに変わっていきます。
治療ごとに口内の状況を確認して、インビザラインRアライナーを新しいものに取り替えていきます。
インビザライン矯正について

  • インビザラインのメリットとは?
    • 矯正装置の装着による不快感が軽減されます。
    • 透明感があり、装着していても目立ちません。
    • 食事のときや歯磨きのときに取り外し可能なため、治療中の口内および歯周組織の健康がより良く維持されます。
    • 通院は4-8週に一度です
    • 低年齢のお子様にも対応可能になりました(条件あり)
    • 治療開始から完了まで、各段階で治療過程を画像・動画で確認できるため、治療期間をより明確に把握することができます。
  • インビザラインのデメリット
    • 使用状況が悪いと予定とおりの結果が得られないことがある。また、治療期間が延びる可能性がある
    • 慣れるまで付けはずしに若干の困難が伴う
    • 学校の昼食時間に外す必要がある(装着したまま食事は困難です)
    • 紛失のリスクがある
  • インビザラインの手順
    1. インビザラインにより治療を行うためにはまず精密な歯の型を取りアメリカに送ります。
    2. それをもとに歯の移動を表したシュミレーション画像が送られてきます。 その画像を見ながら修正を加えます。
    3. 通常は2~3回修正を加えたのちに作製の指示を出します。
    4. 2~3週間後に装置が送られてきます。 歯の型を送ってから1か月ほどかかります。

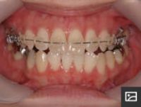
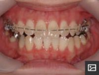
矯正歯科装置 ワイヤー

 
歯の1本1本にブラケットを装着し、そこに形状記憶合金のワイヤを装着して歯を動かします。月に1回の来院でワイヤを交換したり、ワイヤに曲げをいれることによって歯にかかる力を調整して歯をうごかしていきます。違和感は約1週間で慣れてきます。
マウスピース矯正で対応できない埋伏歯にも対応可能です。

  • ワイヤー装置のメリットとは?
    • 24時間持続的に歯に力がかかるので確実に歯がうごきます。
    • マウスピース矯正のような取り外し式ではないので装着忘れによるトラブルがありません
  • ワイヤー矯正のデメリットは?
    • 1か月分の力を加えるのでマウスピース矯正よりは痛みが出る場合があります
    • ワイヤが粘膜にささったり、折れたりすることがまれにあります
    • ブラケットが脱離することがあります

 

ワイヤー装置の手順
    1. 歯のクリーニングをおこないます
    2. 歯の表面を酸処理してブラケットを装着します
    3. ブラケットに形状記憶合金のワイヤを装着します
    4. 調整は1か月に一度です。

診察時間 月 火 水  木 金  土   日 
午前 9:00〜12:30 9:00〜12:30 9:00〜14:30
午後 13:30〜17:30 13:30〜17:30 午後休診

※月〜土曜日の最終受付は17:00です(日曜日は14:00)

 休診日は、診療カレンダーをご参照ください